Térdprotézis beültetés
Térdízületi arthrosis: tünetek, okok, kezelés és térdprotézis beültetés
A térdízületi arthrosis, más néven gonarthrosis, az egyik leggyakoribb krónikus mozgásszervi betegség. Lényege, hogy a térdben található porc fokozatosan elvékonyodik, felszíne egyenetlenné válik, majd részben vagy teljesen elkopik. A folyamat fájdalomhoz, merevséghez és mozgáskorlátozottsághoz vezet, súlyos esetben pedig a mindennapi tevékenységek – járás, lépcsőzés, sportolás – is nehézzé válnak. Előrehaladott stádiumban a tartós panaszok végleges megoldását gyakran a térdprotézis beültetés jelenti.
Mi a térdízületi arthrosis?
A térdízületet a combcsont, a sípcsont és a térdkalács alkotja. A csontvégeket borító, sima porcréteg biztosítja a súrlódásmentes mozgást és a terhelés egyenletes eloszlását. Amikor ez a porcréteg károsodik, elvékonyodik vagy helyenként teljesen eltűnik, a csontfelszínek egymáshoz dörzsölődnek. Ez gyulladást, duzzanatot, fájdalmat és idővel deformitást okoz. Az arthrosis lehet elsődleges, amikor nem azonosítható konkrét kiváltó ok, illetve másodlagos, például sérülés, tengelyeltérés vagy korábbi műtét következményeként. Bármelyik formáról is legyen szó, előrehaladott esetben felmerülhet a térdprotézis beültetés szükségessége.
A térdarthrosis leggyakoribb tünetei
A panaszok többnyire lassan, alattomosan alakulnak ki. Kezdetben csak nagyobb terhelésre – hosszabb séta, lépcsőzés, futás – jelentkezik fájdalom, később már kisebb megterhelésre vagy akár nyugalomban is fennállhat. Jellemző a reggeli vagy nyugalmi merevség, amely általában fél órán belül enyhül. Sok beteg számol be a térd kattogásáról, ropogásáról, terhelésre jelentkező duzzanatról, melegségérzésről. Előrehaladott stádiumban a hajlítás és nyújtás beszűkül, a térd alakja megváltozik, X- vagy O-láb alakulhat ki, és egyre gyakrabban kerül szóba a művi térdízületi pótlás, mint tartós megoldás.

Okok és kockázati tényezők
Az arthrosis kialakulása összetett folyamat. Fontos szerepet játszik az életkor: 50 év felett meredeken nő az előfordulása. Nők körében, különösen a menopauza után, gyakoribb. A túlsúly minden egyes plusz kilogrammjával többletterhelést ró a térdízületre, felgyorsítva a porckopást, és fiatalabb életkorban is szükségessé teheti a térdprotézis-műtét elvégzését. Jelentős kockázatot jelentenek a sport- vagy baleseti sérülések (szalag- és meniscussérülés), a veleszületett vagy szerzett tengelyeltérések, a nehéz fizikai munka, illetve a genetikai hajlam.
Hogyan történik a diagnózis felállítása?
A kivizsgálás első lépése a részletes kikérdezés és fizikális vizsgálat. Az orvos felméri a fájdalom jellegét, a mozgástartományt, ellenőrzi a térd stabilitását és a tengelyállást. Ezt követően rendszerint röntgenfelvétel készül, amely megmutatja az ízületi rés beszűkülését, a csontkinövéseket és a csont alatti szerkezet változásait. Szükség esetén MRI vizsgálat egészíti ki a diagnosztikát, főként akkor, ha a porc, a meniscus vagy a szalagok állapotáról kell részletes képet kapni. Az alapos kivizsgálás azért fontos, mert segít eldönteni, hogy elegendő-e a konzervatív kezelés, vagy már indokolt a térdprotézis beültetés.
Kezelési lehetőségek: konzervatív terápia és térdprotézis beültetés
A kezelés célja minden stádiumban a fájdalom csökkentése, a mozgásképesség javítása és az életminőség helyreállítása. Enyhébb, középsúlyos esetekben elsőként a nem műtéti eljárások jönnek szóba: a testsúlycsökkentés, az ízületkímélő mozgásformák (úszás, kerékpározás, nordic walking), a célzott gyógytorna és fizioterápia, valamint a gyógyszeres fájdalomcsillapítás. Ezt kiegészíthetik az intraartikuláris injekciók, mint a hialuronsav vagy a PRP-kezelés.
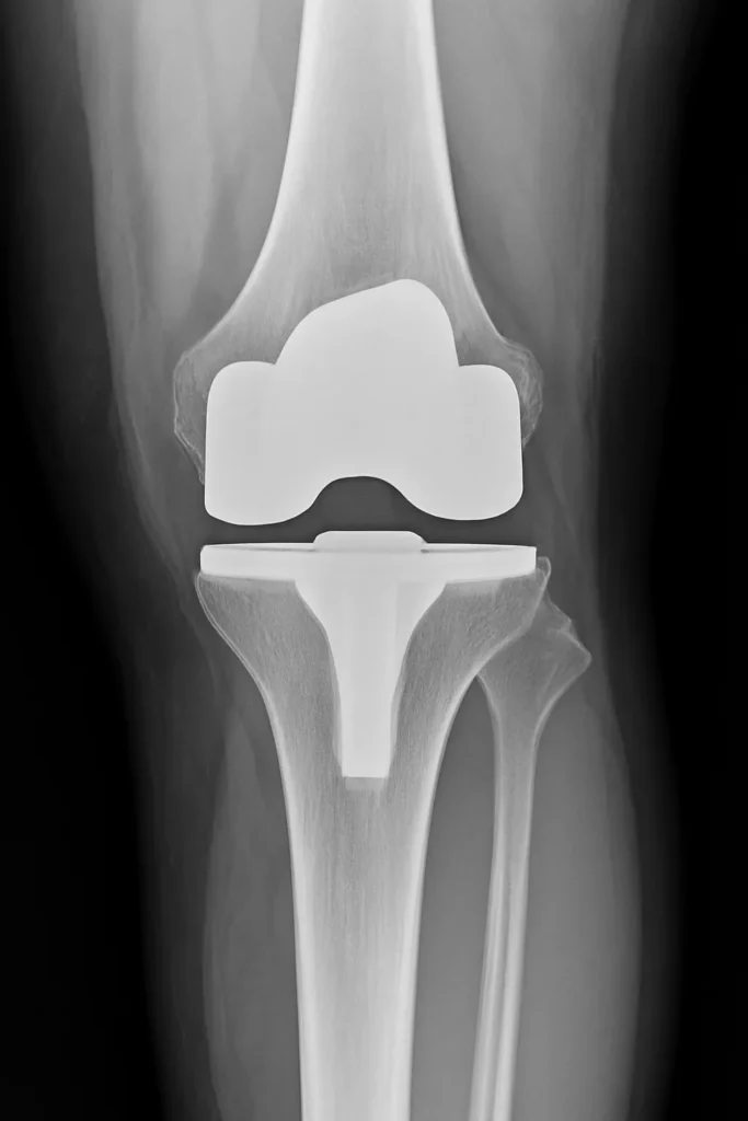
Ha azonban a porc már nagyrészt elkopott, a mindennapi tevékenységek jelentősen korlátozottak, és a konzervatív módszerek nem hoznak megfelelő javulást, felmerül a térdprotézis beültetés. Ilyenkor a károsodott ízfelszíneket speciális, fém és műanyag komponensekből álló implantátumokkal helyettesítik. A beavatkozás lehet részleges, amikor csak az ízület egy meghatározott rekesze kerül pótlásra, vagy teljes, amikor a térd mindhárom fő ízületi felszínét cserélik.
Felépülés és élet térdprotézis beültetés után
A sikeres térdprotézis beültetés kulcsa a gondosan megtervezett műtét és az azt követő szakszerű rehabilitáció. A beavatkozás után már a korai napokban megkezdődik a gyógytorna: először az ízület óvatos mozgatása, majd az izmok erősítése, később a járásbiztonság visszanyerése a cél. A legtöbb beteg néhány hét alatt önállóan közlekedik, és fokozatosan visszatérhet a mindennapi aktivitáshoz. Ez a műtét általában jelentős fájdalomcsökkenést és jobb terhelhetőséget eredményez, így sok esetben lehetővé teszi a korábban elképzelhetetlenül aktív életmódot is.
Megelőzés és összefoglalás
Bár az arthrosis nem minden esetben előzhető meg, sokat tehetünk a kockázat csökkentéséért. A normál testsúly megőrzése, a rendszeres, de ízületkímélő mozgás, a sport- és munkaterhelés ésszerű megválasztása, valamint a térdsérülések szakszerű, időben történő ellátása mind fontos tényezők. Ha már kialakultak a panaszok, érdemes mielőbb szakorvoshoz fordulni, mert a korai stádiumban megkezdett kezelés késleltetheti a porckopás romlását és kitolhatja a térdprotézis beültetés szükségességét. Előrehaladott arthrosis esetén ugyanakkor a korszerű térdprotézis beültetés napjainkban biztonságos, jól tervezhető műtéti megoldás, amely jelentős mértékben javíthatja a betegek életminőségét és hosszú távú mozgásképességét.
Gyakori kérdések
Mennyire fájdalmas a műtét utáni időszak?
Az első napokban fájdalmas, de modern fájdalomcsillapító protokoll mellett jól kezelhető.
Mikor vezethetek autót?
Általában 4–6 hét múlva.
Mennyi ideig tart a térdprotézis?
15–20 év, modern implantátumok gyakran tovább is.
Lehet térdelni protézis után?
Igen, de a legtöbb beteg nem szereti a nyomást.
Csipogni fog a repülőtér kapujánál?
Igen, előfordulhat. Érdemes orvosi igazolást kérni.